What Does Neck Cancer Look Like On An Ultrasound : Neck Lumps Differential Diagnosis Investigation Teachmesurgery : In the framework of such terms as ultrasound of the neck, can be performed the following studies:
Dapatkan link
Facebook
X
Pinterest
Email
Aplikasi Lainnya
What Does Neck Cancer Look Like On An Ultrasound : Neck Lumps Differential Diagnosis Investigation Teachmesurgery : In the framework of such terms as ultrasound of the neck, can be performed the following studies:. Ultrasound is used to see the thyroid gland and the lymph node of the neck. Fna is generally done on all thyroid nodules that are big enough to be felt. A neck lump or nodule is the most common symptom of thyroid cancer. A lump will form when a cancer cell infiltrates the capsule and multiplies. A nodule or a growth in the thyroid can be seen and identified.
29 years experience ent and head and neck surgery. An ultrasound of the neck is used to examine the carotid arteries located on each side of a patient's neck. Carcinoma of the cervix is a malignancy arising from the cervix. Nearly all skin cancers can be treated effectively if they are found early, so knowing what to look for is important. A neck lump or nodule is the most common symptom of thyroid cancer.
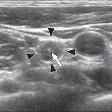
Enlarged Lymph Nodes In Head And Neck Cancer Analysis With Triplex Ultrasonography Sathyanarayan V Siva Bharani K Ann Maxillofac Surg from www.amsjournal.com Ultrasound an ultrasound is sometimes used, especially to look at the thyroid, salivary glands and lymph glands in the neck. Ultrasonography of neck lymph nodes; As thyroid cancer gets more advanced, you might notice symptoms like: Lumps can also form in the lips. A small lump on the neck usually is a lymph node, a small sebaceous cyst or a lipoma, although it could be something else. Reactive lymph nodes look different on ultrasound to lymphoma, so i'm sure the report to the gp will be the same as what she told you. Ultrasound is used to see the thyroid gland and the lymph node of the neck. During biopsy, the ultrasound helps make sure they are getting fna samples from the right areas.
This picture gallery contains some examples of the more common.
It is the same type of scan that is performed on pregnant women to view images of their unborn babies. Cancerous lymph nodes can occur anywhere on the neck and are typically described as firm, painless, and sometimes may be immovable. This picture gallery contains some examples of the more common. A small device called a transducer is moved over the area. Other names for this test: The arteries deliver blood from your heart to your brain. This gives an idea of how quickly the cancer may develop. Ultrasonography of neck lymph nodes; Epidemiology it typically presents in younger women with an average age of onset at around 45 y. Carotid ultrasound tests for blocked or narrowed carotid arteries, which can increase the. Did the ultrasound show wha. You ob/gyn can usually tell. Carcinoma of the cervix is a malignancy arising from the cervix.
Other names for this test: They deliver blood from your heart to your brain. Ultrasounds are usually quick and most don't require special preparation. Epidemiology it typically presents in younger women with an average age of onset at around 45 y. Reactive lymph nodes look different on ultrasound to lymphoma, so i'm sure the report to the gp will be the same as what she told you.
Stage 4 Throat Cancer Life Expectancy Staging Types Risks from post.healthline.com For this scan, you will lie down and a gel will be spread over your neck. Two in three cases of thyroid cancer occur in people under age 55, and 75%. Ultrasound of the thyroid gland. A small lump on the neck usually is a lymph node, a small sebaceous cyst or a lipoma, although it could be something else. The doctor will also inspect the nose, mouth, throat, and tongue for abnormalities, often using a light and a mirror for a. 1 ), and the presence of an echogenic hilus within lymph nodes was previously considered a sign of benignity 44. Unfortunately cancer of the thyroid will not show up on an ultrasound. It is the same type of scan that is performed on pregnant women to view images of their unborn babies.
What does a cancerous lymph node feel like?
The sonographer stands facing the ultrasound and uses their right hand to move the transducer on the patient's neck, thus simultaneously facing both the ultrasound monitor ( on the left) and the patient's face ( on the right) figure 4.5. Are there signs of thyroid cancer on ultrasound? Sounds like they've been enlarged from an infection, maybe fighting one you weren't even aware of. A neck lump or nodule is the most common symptom of thyroid cancer. How a nodule looks on ultrasound can sometimes suggest if it is likely to be a cancer, but ultrasound can't tell for sure. Physical examination/blood and urine tests. Skin cancer is by far the most common type of cancer. An ultrasound of the neck is used to examine the carotid arteries located on each side of a patient's neck. The doctor will also inspect the nose, mouth, throat, and tongue for abnormalities, often using a light and a mirror for a. During a physical examination, the doctor feels for any lumps on the neck, lips, gums, and cheeks. Unfortunately cancer of the thyroid will not show up on an ultrasound. Most of the time, patients in the low risk group are simply monitored by ultrasound. An ultrasound scanner uses high frequency sound waves to create images of the internal soft tissues of the face and neck.
Most of the time, patients in the low risk group are simply monitored by ultrasound. Air and bone also reflect sound waves. Hopefully mine will be exactly the same, roll on thursday. Reactive lymph nodes look different on ultrasound to lymphoma, so i'm sure the report to the gp will be the same as what she told you. Pain at the front of your neck or moving up to your ears.
Non Thyroid Cystic Masses Identified On Neck Ultrasound from www.healio.com If you have a lump on it. During a physical examination, the doctor feels for any lumps on the neck, lips, gums, and cheeks. Air and bone also reflect sound waves. This means that they are larger than about 1 centimeter (about 1/2 inch) across. A neck ultrasound can be used to observe the thyroid gland to look for nodules, growths, or tumors. Epidemiology it typically presents in younger women with an average age of onset at around 45 y. Ultrasounds are usually quick and most don't require special preparation. The sonographer stands facing the ultrasound and uses their right hand to move the transducer on the patient's neck, thus simultaneously facing both the ultrasound monitor ( on the left) and the patient's face ( on the right) figure 4.5.
Are there signs of thyroid cancer on ultrasound?
Doctors often use them to guide a needle during a biopsy. Carotid ultrasound tests for blocked or narrowed carotid arteries, which can increase the. If left unchecked, the cancer can break out of the lymph node and spread to the surrounding. This picture gallery contains some examples of the more common. Ultrasound is relatively quick and simple test that gives very useful information about the soft tissues in the head and neck region including the lymph. Thyroid nodules, or lumps, are very common.most aren't cancer. Reactive lymph nodes look different on ultrasound to lymphoma, so i'm sure the report to the gp will be the same as what she told you. Trusted, accurate neck ultrasound, from the experts in anchorage. The doctor will also inspect the nose, mouth, throat, and tongue for abnormalities, often using a light and a mirror for a. Epidemiology it typically presents in younger women with an average age of onset at around 45 y. Malignant cyst look more complex and may have solid areas. Doctors in 147 specialties are here to answer your questions or offer you advice, prescriptions, and more. Two in three cases of thyroid cancer occur in people under age 55, and 75%.
Make A Trainer Card : How to make your own Trainer card | Tutorial - YouTube / We're the home of the trainer card maker and thousands of pokémon art, writing, and other creative works in our creative corner. . Next select the trainer with the rectangular marquee tool and drag it to the trainer card base. If you chose a then you can skip the next few steps and scroll down to the steps where we add the pokemon. It is the perfect card to play after the player has finished a big turn and needs to draw useful cards to setup upcoming plays. The number of cards in each block to be taped should be: Volkner's philosophy is a trainer card that works in a similar manner as the birch and bianca trainer cards but differs in the sense that it also allows the player to discard a card from his/her hand. You can edit most text on the card maker by clicking on it and typing. Best view in 1080phow to make an animated trainer's card:1. I'm not following this anymore, ...
How To Make Index Cards / How to Create Index Cards in Word | Techwalla.com / It's as if a secret cabal of paper goods producers has gotten together and decided that nobody could ever possibly want cards in profile layout. . Index cards are one of the best information organizing tools and memory aids because of their simplicity. So, this craft came out of need. Size is key here though; Stem challenge index card tower. It's as if a secret cabal of paper goods producers has gotten together and decided that nobody could ever possibly want cards in profile layout. If yes, which brand do you use? If you want, you can still use them. How to make index cards under fontanacountryinn com. Stem challenge index card tower. Postcard template google docs new how to make a card in 13 steps with 2020. 50 Creative, Practical Ways to Use Index Cards - Weird ... from 3dg8rv20pjzv397jvh1klmnw-wpeng...
Prostate Cancer Signs And Treatment : Prostate Cancer Symptoms Tests And Treatments Fda / If you are facing prostate cancer, we can help you learn about the treatment options and possible side effects, and point you to helpful information and services. . In the very early stages, there is little recommended to do. Learn the signs and symptoms of prostate cancer, along with causes and treatments. Prostate cancer that spreads to the bones can cause pain and broken bones. Prostate cancer is unique to men and occurs when abnormal cells grow in the prostate. Both prostate cancer and its treatment can cause urinary incontinence. Here are some warning signs and symptoms, every men must know. Learn the signs and symptoms of prostate cancer, along with causes and treatments. Prostate cancer may spread ( metastasize) and form tumors in nearby organs or bones. It's so common that it sometimes doesn't go diagnosed until autopsies are performed, though that doesn't ...
Komentar
Posting Komentar